|
|

|
|
¾î±ú ÈûÁÙ ¼Õ»ó ÇØºÎÇÐÀû ±¸Á¶¿¡ ´ëÇÑ ¿¬±¸
|
|
õ¾È¡¤¾Æ»êÃæ¹«º´¿ø Á¤Çü¿Ü°ú À¯À缺 ¹Ú»ç
|
|
2021³â 04¿ù 19ÀÏ(¿ù) 13:54 [(ÁÖ)¿Â¾ç½Å¹®»ç] 
|
|
|

| 
| | ¨Ï ¿Â¾ç½Å¹® | õ¾È¡¤¾Æ»êÃæ¹«º´¿ø Á¤Çü¿Ü°ú À¯À缺 ¹Ú»ç<»çÁø>°¡ Ã¥ÀÓÀúÀڷμ ¾î±ú ÈûÁÙ ¼Õ»óÀÇ ÇØºÎÇÐÀû ±¸Á¶¿¡ ´ëÇÑ ¿¬±¸À¸·Î SCI±Þ ±¹Á¦ ÇмúÁö¿¡ ³í¹®À» ¹ßÇ¥ÇÞ´Ù°í ¹àÇû´Ù.
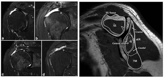
À¯À缺 ¹Ú»çÀÇ Á¤Çü¿Ü°ú ¼ö¼ú °ü·Ã SCI(E)±Þ ±¹Á¦ÇмúÁöÀÎ ¡®Indian Journal of Orthopaedics¡¯¿¡ °ÔÀçµÈ ¡®Relation of Superfcial and Deep Layers of Delaminated Rotator Cuff Tear to Supraspinatus and Infraspinatus Insertions¡¯ ³í¹®Àº ¾î±úÀÇ È¸Àü±Ù°³ ÆÄ¿ ¾ç»ó¿¡ µû¸¥ ȸÀü±Ù°³ ±ÙÀ° º¯È ¾ç»ó¿¡ ´ëÇØ ºÐ¼®ÇÏ¿© ȸÀü±Ù°³ ÆÄ¿ÀÇ ÇØºÎÇÐÀû ±¸Á¶¿¡ ´ëÇÑ ¿¬±¸ÀÌ´Ù.
| 
| | ¡è¡è ¡ãȸÀü±Ù°³ ±ÙÀ°ÀÇ º¯È <»çÁøÁ¦°ø=¾Æ»êÃæ¹«º´¿ø> | ¨Ï ¿Â¾ç½Å¹® | | ´ëÇѹα¹ Çڵ庼 ±¹°¡´ëÇ¥ ÆÀ´ÚÅͷΠȰµ¿ ÁßÀÎ À¯À缺 ¹Ú»ç´Â ´Ü±¹´ëÇб³ Á¤Çü¿Ü°ú ±³¼ö ÀçÁ÷ ÁßÀÌ´ø 2017³âºÎÅÍ ¡®¸¶¸£ÄûÁî ÈÄÁî ÈÄ ÀÎ ´õ ¿ùµå(Marquis Who¡¯s Who in the World)¡¯¿¡ µîÀçµÇ¾úÀ¸¸ç, ¾î±ú ¹× ÆÈ²ÞÄ¡ °üÀý ¼ö¼ú °á°ú¿¡ ´ëÇÑ ÀÓ»ó ³í¹®À» SCI±Þ Àú³Î 22ÆíÀ» Æ÷ÇÔÇÏ¿© ÃÑ 80¿© ÆíÀÇ ³í¹®À» °³Á¦Çß´Ù.
¶ÇÇÑ ¡®Jounral of Shoulder and Elbow Surgery¡¯, ¡®Orthopaedics and Traumatology: Surgery and Research¡¯ ¿Í ¡®BMD musculoskeletal disorder¡¯ÀÇ ³í¹® ½É»çÀ§¿ø ¹× ´Ù¾çÇÑ ±¹Á¦ÇмúÁöÀÇ ³í¹® ÆíÁýÀ§¿øÀ¸·Î Ȱµ¿ ÁßÀÌ´Ù.
¾Æ»êÃæ¹«º´¿øÀº ¾ÕÀ¸·Îµµ Á¤Çü¿Ü°ú Ä¡·á¿Í ¿¬±¸¿¡ ¸ÅÁøÇØ ÇÕº´Áõ ¾øÀÌ ºü¸£°Ô ȸº¹ÇÒ ¼ö ÀÖ´Â »õ·Î¿î Ä¡·á ¹æÇâÀ» Á¦½ÃÇÒ ¼ö ÀÖµµ·Ï ³ë·ÂÇϰڴ٠ÀüÇß´Ù.
|
|
|
|
¿Â¾ç½Å¹®»ç ±âÀÚ ionyang@hanmail.net ¡°Áö¿ªÁ¤½Å ¿Â¾ç½Å¹®¡± - Copyrights ¨Ï(ÁÖ)¿Â¾ç½Å¹®»ç.
¹«´Ü ÀüÀç ¹× Àç¹èÆ÷ ±ÝÁö -
|
|
|
|
(ÁÖ)¿Â¾ç½Å¹®»ç
±â»ç¸ñ·Ï | ±â»çÁ¦°ø : (ÁÖ)¿Â¾ç½Å¹®»ç
|
|
|
|
|
|
|
|
|
|
|
|

|
|
|
|
ÃÖ±Ù±â»ç
|
|
|
|
|
Ãæ³²³²ºÎÀ庹, µµ³» Á÷¾÷ÀçȰ Àü..
|
|
¼øÃµÇâ´ë, KOICA ÇÁ·ÎÁ§Æ® ºÀ»ç´Ü..
|
|
¾Æ»êÆú¸®ÅØ´ëÇÐ, À¯´Ï½¼HKR(ÁÖ)¿Í..
|
|
Ãæ³²Àå¾ÖÀΰ¡Á·Áö¿ø¼¾ÅÍ, ÇöÀå Áß..
|
|
¾Æ»ê 4´ë ¿Âõ, ¡®¹°¸À¡¯ ´Þ¶ú´Ù
|
|
¿Â(On)½Ã½ºÅÛ È°¿ë È»ó ¿¬¼ö ¿î..
|
|
4°³ ½Ã±º¿¡ ¡®±âÈÄÀ§±â ¾È½É¸¶À»..
|
|
Ãæ³²119Ư¼ö´ëÀÀ´Ü, ÀÌ»öÀûÀÎ ¼Ò..
|
|
ÀÌ»ó±Ù ÀÇ¿ø, Ãæ³²µµÀÇȸ ÀÇÁ¤´ë..
|
|
Ãæ³²µµ, û³âÁ¤Ã¥ Æò°¡ ¡®Àü±¹ 1..
|
|
û³â ÁÖµµ Á¤½Å°Ç° Àνݳ¼± º»..
|
|
¡®2027 ¼¶ºñ¿£³¯·¹¡¯ Çù¾÷ °úÁ¦ ..
|
|
¹Ú¼öÇö ¿¹ºñÈĺ¸ µî·Ï, ±¹È¸ÀÇ¿ø ..
|
|
¾Æ»ê½Ã, ¡®½ÅÁ¤È£Á¤¿ø ´Þºû´©¸®±³..
|
|
À̼ø½ÅÃàÁ¦ Áغñ ¡®À̻󹫡¯¡¦¡°..
|
|
Ãæ³²³ó¾÷±â¼ú¿ø, ¹æ¿ïÅ丶Åä ½Åǰ..
|
|
Ãæ³²Å×Å©³ëÆÄÅ©, ¹Ì·¡ »ê¾÷ À̲ø ..
|
|
Áö¿ª»çȸ¿Í ÇÔ²²ÇÏ´Â ³ª´®, Àå¾Ö ..
|
|
û·ÅÇÑ ±³À° ÇöÀå ½Çõ À§ÇÑ ¡®ÀÌ..
|
|
¾Æ»êµµ¼°ü, Çб³µµ¼°ü °ü°èÀÚ ..
|
|
|