|
|

|
|
ÆÈ²ÞÄ¡ ³»½Ã°æ Ä¡·á¿¡ ´ëÇÑ ¿¬±¸ ±¹Á¦ÇмúÁö ³í¹® ¹ßÇ¥
|
|
¾Æ»êÃæ¹«º´¿ø Á¤Çü¿Ü°ú À¯À缺 ±³¼ö
|
|
2021³â 12¿ù 14ÀÏ(È) 15:51 [(ÁÖ)¿Â¾ç½Å¹®»ç] 
|
|
|

| 
| | ¨Ï ¿Â¾ç½Å¹® | ¾Æ»êÃæ¹«º´¿ø Á¤Çü¿Ü°ú À¯À缺 ±³¼ö°¡ Á¦ 1ÀúÀڷμ ÆÈ²ÞÄ¡ ³»½Ã°æ Ä¡·á¿¡ ´ëÇÑ ¿¬±¸·Î ±¹Á¦ ÇмúÁö¿¡ ³í¹®À» ¹ßÇ¥Çß´Ù.
Á¤Çü¿Ü°ú °ü·Ã ±¹Á¦ÇмúÁöÀÎ ¡®Journal of Orthopaedics¡¯¿¡ °ÔÀçµÈ ¡®Proper elbow arthroscopy portal placement in pediatric and adolescent patients¡¯ ³í¹®Àº ÃÖ±Ù ¸¹ÀÌ »ç¿ëµÇ°í ÀÖ´Â ÁÖ°üÀý ³»½Ã°æ Ä¡·á¿¡ ÀÖ¾î¼ ¼Ò¾Æ ¹× û¼Ò³â±â ȯÀÚ Ä¡·á ½Ã ÀûÀýÇÑ »ðÀÔ±¸ À§Ä¡¿¡ ´ëÇØ º¸°íÇÑ ³í¹®ÀÌ´Ù.
¼Ò¾Æ ¹× û¼Ò³â±âÀÇ ÁÖ°üÀýÀº °ñÇü¼ºÀÌ ¿Ï·áµÇÁö ¾Ê¾Æ ±âÁ¸ÀÇ »ðÀÔ±¸ À§Ä¡·Î »ç¿ëÇÏ´ø ÁöÇ¥¿¡´Â ÇѰ谡 ÀÖ´Ù. ÀÌ¿¡ µû¶ó À̹ø À¯À缺 ±³¼öÀÇ ÆÈ²ÞÄ¡ ³»½Ã°æ Ä¡·á¿¡ ´ëÇÑ ³í¹®Àº ´Ù¾çÇÑ °ñ¼º ÁöÇ¥¸¦ Á¦½ÃÇÑ ¿¬±¸¶ó´Â Á¡¿¡¼ ±× ÀÇÀǰ¡ ÀÖ´Ù°í ÇÒ ¼ö ÀÖ´Ù.

| 
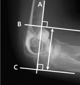
| | | ¡è¡è ¡ã°üÀý Á¶¿µ¼úÀ» ÀÌ¿ëÇÑ °üÀý³¶ÀÇ À§Ä¡ ÃøÁ¤ <»çÁøÁ¦°ø=¾Æ»êÃæ¹«º´¿ø> | ¨Ï ¿Â¾ç½Å¹® | | À¯À缺 ±³¼ö´Â ¡°À̹ø ¿¬±¸¸¦ ÅëÇØ ´Ù¾çÇÑ °ñ¼º ÁöÇ¥¸¦ Á¦½ÃÇÔ°ú µ¿½Ã¿¡ ¼Ò¾Æ ¹× û¼Ò³â ȯÀڵ鿡°Ô º¸´Ù ´õ ÀûÀýÇÑ Ä¡·á¸¦ Á¦°øÇÒ ¼ö ÀÖÀ» °ÍÀ¸·Î ±â´ëµÈ´Ù´Â Á¡¿¡¼ À¯ÀǹÌÇÑ ¿¬±¸¿´´Ù°í »ý°¢ÇÑ´Ù. ¾ÕÀ¸·Îµµ ȯÀڵ鿡°Ô ÃÖ¼±ÀÇ Áø·á¸¦ Á¦°øÇÒ ¼ö ÀÖµµ·Ï ³ë·ÂÇϰڴÙ.¡±°í ¸»Çß´Ù.
½ºÆ÷Ã÷ ÀÇÇÐ ºÐ°ú Àü¹®ÀÇÀÎ À¯À缺 ±³¼ö´Â Áö³ 2017³âºÎÅÍ ¡®¸¶¸£ÄûÁî ÈÄÁî ÈÄ ÀÎ ´õ ¿ùµå(Marquis Who¡¯s Who in the World)¡¯¿¡ µîÀçµÆÀ¸¸ç, ¾î±ú ¹× ÆÈ²ÞÄ¡ °ü·Ã ¼ö¼ú °á°ú¿¡ ´ëÇÑ ÀÓ»ó ³í¹®À» SCI±Þ Àú³Î 20¿©ÆíÀ» Æ÷ÇÔ, ÃÑ 80¿©Æí °ÔÀçÇÏ¿´°í, ¡®Journal of Shoulder and Elbow Surgery¡¯, ¡®Orthopaedics and Traumatology: Surgery and Research¡¯, ¡®Sports Journal¡¯ µî ´Ù¾çÇÑ ³í¹® ½É»çÀ§¿ø ¹× ±¹Á¦ÇмúÁöÀÇ ÆíÁýÀ§¿øÀ¸·Îµµ Ȱµ¿ ÁßÀÌ´Ù.
| 
| | ¡è¡è <»çÁøÁ¦°ø=¾Æ»êÃæ¹«º´¿ø> | ¨Ï ¿Â¾ç½Å¹® | |
|
|
|
|
¿Â¾ç½Å¹®»ç ±âÀÚ ionyang@hanmail.net ¡°Áö¿ªÁ¤½Å ¿Â¾ç½Å¹®¡± - Copyrights ¨Ï(ÁÖ)¿Â¾ç½Å¹®»ç.
¹«´Ü ÀüÀç ¹× Àç¹èÆ÷ ±ÝÁö -
|
|
|
|
(ÁÖ)¿Â¾ç½Å¹®»ç
±â»ç¸ñ·Ï | ±â»çÁ¦°ø : (ÁÖ)¿Â¾ç½Å¹®»ç
|
|
|
|
|
|
|
|
|
|
|
|

|
|
|
|
ÃÖ±Ù±â»ç
|
|
|
|
|
Ãæ³²³²ºÎÀ庹, µµ³» Á÷¾÷ÀçȰ Àü..
|
|
¼øÃµÇâ´ë, KOICA ÇÁ·ÎÁ§Æ® ºÀ»ç´Ü..
|
|
¾Æ»êÆú¸®ÅØ´ëÇÐ, À¯´Ï½¼HKR(ÁÖ)¿Í..
|
|
Ãæ³²Àå¾ÖÀΰ¡Á·Áö¿ø¼¾ÅÍ, ÇöÀå Áß..
|
|
¾Æ»ê 4´ë ¿Âõ, ¡®¹°¸À¡¯ ´Þ¶ú´Ù
|
|
¿Â(On)½Ã½ºÅÛ È°¿ë È»ó ¿¬¼ö ¿î..
|
|
4°³ ½Ã±º¿¡ ¡®±âÈÄÀ§±â ¾È½É¸¶À»..
|
|
Ãæ³²119Ư¼ö´ëÀÀ´Ü, ÀÌ»öÀûÀÎ ¼Ò..
|
|
ÀÌ»ó±Ù ÀÇ¿ø, Ãæ³²µµÀÇȸ ÀÇÁ¤´ë..
|
|
Ãæ³²µµ, û³âÁ¤Ã¥ Æò°¡ ¡®Àü±¹ 1..
|
|
û³â ÁÖµµ Á¤½Å°Ç° Àνݳ¼± º»..
|
|
¡®2027 ¼¶ºñ¿£³¯·¹¡¯ Çù¾÷ °úÁ¦ ..
|
|
¹Ú¼öÇö ¿¹ºñÈĺ¸ µî·Ï, ±¹È¸ÀÇ¿ø ..
|
|
¾Æ»ê½Ã, ¡®½ÅÁ¤È£Á¤¿ø ´Þºû´©¸®±³..
|
|
À̼ø½ÅÃàÁ¦ Áغñ ¡®À̻󹫡¯¡¦¡°..
|
|
Ãæ³²³ó¾÷±â¼ú¿ø, ¹æ¿ïÅ丶Åä ½Åǰ..
|
|
Ãæ³²Å×Å©³ëÆÄÅ©, ¹Ì·¡ »ê¾÷ À̲ø ..
|
|
Áö¿ª»çȸ¿Í ÇÔ²²ÇÏ´Â ³ª´®, Àå¾Ö ..
|
|
û·ÅÇÑ ±³À° ÇöÀå ½Çõ À§ÇÑ ¡®ÀÌ..
|
|
¾Æ»êµµ¼°ü, Çб³µµ¼°ü °ü°èÀÚ ..
|
|
|