|
|

|
|
¾î±ú ȸÀü±Ù°³ ÆÄ¿¿¡ ´ëÇÑ ¿¬±¸ ±¹Á¦ ÇмúÁö ³í¹® ¹ßÇ¥
|
|
õ¾È¡¤¾Æ»êÃæ¹«º´¿ø Á¤Çü¿Ü°ú À¯À缺±³¼ö
|
|
2022³â 03¿ù 21ÀÏ(¿ù) 14:11 [(ÁÖ)¿Â¾ç½Å¹®»ç] 
|
|
|

| 
| | ¨Ï ¿Â¾ç½Å¹® | õ¾È¡¤¾Æ»êÃæ¹«º´¿ø Á¤Çü¿Ü°ú À¯À缺 ±³¼ö<»çÁø>°¡ Ã¥ÀÓÀúÀÚ·Î Âü¿©ÇÑ ¾î±ú ȸÀü±Ù°³ ÆÄ¿¿¡ ´ëÇÑ ¿¬±¸ ³í¹®ÀÌ ±¹Á¦ ÇмúÁö¿¡ °ÔÀçµÇ´Â ¼º°ú¸¦ °ÅµÎ¾ú´Ù.
Á¤Çü¿Ü°ú ¼ö¼ú °ü·Ã ±¹Á¦ÇмúÁöÀÎ ¡®Journal of Orthopaedics¡¯¿¡ °ÔÀçµÈ ¡®The anterior translation of the humeral head leads to a decrease in the coracohumeral distance in subscapularis tear¡¯ ³í¹®Àº ¾î±ú ȸÀü±Ù°³ÀÇ °ß°©Ç졂 ÆÄ¿¿¡¼ ÆÄ¿ ÁøÇà¿¡ µû¶ó º¯ÇüÀÌ ÀϾ´Â °ñ¼º ±¸Á¶¹°¿¡ ´ëÇÑ ¿¬±¸ÀÌ´Ù.
À̹ø À¯À缺±³¼öÀÇ ³í¹®Àº °ß°©Ç졂 ÆÄ¿ÀÇ °úÁ¤¿¡ ´ëÇÑ ÀÌÇØ¸¦ µµ¿Í Ä¡·á °áÁ¤¿¡ µµ¿òÀ» ÁÖ´Â ¿¬±¸¿´´Ù´Â Á¡¿¡¼ ±× ÀÇÀǰ¡ ÀÖ´Ù.
À¯À缺 ±³¼ö´Â ¡°È¸Àü±Ù°³ ÆÄ¿Àº ¿îµ¿ ½Ã °úµµÇÑ ÈûÀ» °¡ÇßÀ» ¶§ ¹ß»ýÇϱ⵵ Çϳª, ¾î±ú °üÀý¿¡ ¹ß»ýÇÏ´Â ¸¸¼º ÅëÁõÀÇ °¡Àå ÈçÇÑ ¿øÀÎ Áß ÇϳªÀÎ ¸¸Å À̹ø ¿¬±¸°¡ ¾î±ú ÁúȯÀ¸·Î °í»ýÇϽô ¸¹Àº ºÐµé¿¡°Ô µµ¿òÀÌ µÉ ¼ö ÀÖ±æ ¹Ù¶õ´Ù. ¾ÕÀ¸·Îµµ ȯÀڵ鿡°Ô ÃÖ¼±ÀÇ Áø·á¸¦ Á¦°øÇÏ°í ½ÇÁúÀûÀÎ µµ¿òÀ» µå¸± ¼ö ÀÖµµ·Ï ¿¬±¸¿¡µµ ¸ÅÁøÇϰڴÙ.¡±°í ÀüÇß´Ù.
ÇÑÆí, ´ëÇѹα¹ Çڵ庼 ±¹°¡´ëÇ¥ ÆÀ´ÚÅͷεµ Ȱµ¿ ÁßÀÎ À¯À缺±³¼ö´Â ¿À½Ê°ß, ȸÀü±Ù°³Áúȯ, °ß°üÀý Å»±¸, Å״Ͻº ¿¤º¸¿ì, ¼Õ¸ñÅͳÎÁõÈıº µîÀÇ Áúȯ¿¡¼ ³»½Ã°æ Ä¡·á¸¦ ÁÖ·Î ´ã´çÇϰí ÀÖÀ¸¸ç, SCI±Þ Àú³ÎÀÇ ³í¹® ½É»çÀ§¿ø, ±¹Á¦ÇмúÁö ÆíÁýÀ§¿ø µî ½ºÆ÷Ã÷ÀÇÇÐ ºÐ°ú Àü¹®ÀǷμ ´Ù¾çÇÑ È°µ¿À» ÆîÄ¡°í ÀÖ´Ù.
| 
| | ¡è¡è <»çÁøÁ¦°ø=¾Æ»êÃæ¹«º´¿ø> | ¨Ï ¿Â¾ç½Å¹® | |
| 
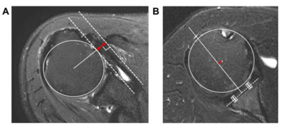
| | ¡è¡è ¡ãÀü¹æÀÇ °ß°©Ç졂 ÆÄ¿ÀÌ ÁøÇàµÉ¼ö·Ï »ó¿Ï°ñÀÇ Àü¹æÀ̵¿°ú ¿À±¸µ¹±â »ó¿Ï °Å¸® °¨¼Ò°¡ ¹ß»ý <»çÁøÁ¦°ø=¾Æ»êÃæ¹«º´¿ø> | ¨Ï ¿Â¾ç½Å¹® | |
|
|
|
|
¿Â¾ç½Å¹®»ç ±âÀÚ ionyang@hanmail.net ¡°Áö¿ªÁ¤½Å ¿Â¾ç½Å¹®¡± - Copyrights ¨Ï(ÁÖ)¿Â¾ç½Å¹®»ç.
¹«´Ü ÀüÀç ¹× Àç¹èÆ÷ ±ÝÁö -
|
|
|
|
(ÁÖ)¿Â¾ç½Å¹®»ç
±â»ç¸ñ·Ï | ±â»çÁ¦°ø : (ÁÖ)¿Â¾ç½Å¹®»ç
|
|
|
|
|
|
|
|
|
|
|
|

|
|
|
|
ÃÖ±Ù±â»ç
|
|
|
|
|
Ãæ³²³²ºÎÀ庹, µµ³» Á÷¾÷ÀçȰ Àü..
|
|
¼øÃµÇâ´ë, KOICA ÇÁ·ÎÁ§Æ® ºÀ»ç´Ü..
|
|
¾Æ»êÆú¸®ÅØ´ëÇÐ, À¯´Ï½¼HKR(ÁÖ)¿Í..
|
|
Ãæ³²Àå¾ÖÀΰ¡Á·Áö¿ø¼¾ÅÍ, ÇöÀå Áß..
|
|
¾Æ»ê 4´ë ¿Âõ, ¡®¹°¸À¡¯ ´Þ¶ú´Ù
|
|
¿Â(On)½Ã½ºÅÛ È°¿ë È»ó ¿¬¼ö ¿î..
|
|
4°³ ½Ã±º¿¡ ¡®±âÈÄÀ§±â ¾È½É¸¶À»..
|
|
Ãæ³²119Ư¼ö´ëÀÀ´Ü, ÀÌ»öÀûÀÎ ¼Ò..
|
|
ÀÌ»ó±Ù ÀÇ¿ø, Ãæ³²µµÀÇȸ ÀÇÁ¤´ë..
|
|
Ãæ³²µµ, û³âÁ¤Ã¥ Æò°¡ ¡®Àü±¹ 1..
|
|
û³â ÁÖµµ Á¤½Å°Ç° Àνݳ¼± º»..
|
|
¡®2027 ¼¶ºñ¿£³¯·¹¡¯ Çù¾÷ °úÁ¦ ..
|
|
¹Ú¼öÇö ¿¹ºñÈĺ¸ µî·Ï, ±¹È¸ÀÇ¿ø ..
|
|
¾Æ»ê½Ã, ¡®½ÅÁ¤È£Á¤¿ø ´Þºû´©¸®±³..
|
|
À̼ø½ÅÃàÁ¦ Áغñ ¡®À̻󹫡¯¡¦¡°..
|
|
Ãæ³²³ó¾÷±â¼ú¿ø, ¹æ¿ïÅ丶Åä ½Åǰ..
|
|
Ãæ³²Å×Å©³ëÆÄÅ©, ¹Ì·¡ »ê¾÷ À̲ø ..
|
|
Áö¿ª»çȸ¿Í ÇÔ²²ÇÏ´Â ³ª´®, Àå¾Ö ..
|
|
û·ÅÇÑ ±³À° ÇöÀå ½Çõ À§ÇÑ ¡®ÀÌ..
|
|
¾Æ»êµµ¼°ü, Çб³µµ¼°ü °ü°èÀÚ ..
|
|
|